Smile Gallery
Our Patients’ Smile Transformations
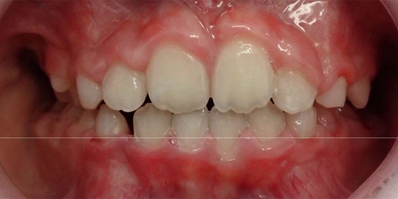
This smile gallery features just a few examples of the smile transformations that have come from our office. Use the slider to see the changes from the beginning to the end of treatment.
Kid's Dentist Near You
Sparkle City Dental & Orthodontics
300 Union St., Suite A,
Spartanburg, SC 29306
Phone:
(864) 515-0485
Hours
Monday: 9:00 AM - 5:00 PM
Tuesday: 9:00 AM - 5:00 PM
Wednesday: 9:00 AM - 5:00 PM
Thursday: 9:00 AM - 5:00 PM
Friday: 8:00 AM - 1:00 PM
Saturday: Closed
Sunday: Closed










